Цистоскопия это осмотр внутренней поверхности мочевого пузыря с помощью специального оптического прибора. Цистоскоп с микрокамерой вводится через мочеиспускательный канал и позволяет врачу своими глазами увидеть, что же происходит внутри.
Несмотря на то, что современное оборудование позволяет провести эту процедуру с минимальными неприятными ощущениями, у пациентов часто возникают вопросы: действительно ли так необходимо выполнить это обследование, можно ли обойтись без него и т.д. В этой статья я собрал несколько реальных изображений слизистой мочевого пузыря, полученных при проведении цистоскопии, чтобы продемонстрировать, насколько разными могут быть выявленные проблемы и как цистоскопия помогает определится с диагнозом и лечением.
Показания для данной процедуры определяет врач. Цистоскопия проводится:
При проведении цистоскопии может быть сделана биопсия слизистой мочевого пузыря. Биопсия выполняется во всех случаях пролиферативного цистита, подозрении на метаплазию, интерстициальный цистит. Благодаря биопсии можно точно исследовать структуру и клеточный состав измененной ткани, для постановки точного диагноза. Биоптаты берутся только из измененной слизистой, их количество определяется количеством типов изменений слизистой оболочки.
В зависимости от увиденной картины, врач выбирает адекватную тактику лечения. Некоторые состояния, которые можно выявить с помощью цистоскопии:
1. Кистозный цистит. Цистоскопия позволяет точно диагностировать проблему благодаря видимым изменениям. После установки диагноза лечение проводится инстиляциями лекарственными составами.

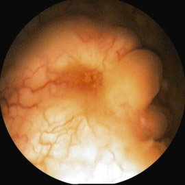
2. Полипоидный/буллезный/папиллярный цистит. Лечение медикаментозное, в некоторых случаях более эффективна лазерная абляция слизистой мочевого пузыря.


3. Инкрустирующий цистит. Цистоскопия позволяет увидеть участки измененной ткани слизистой. Для лечения удаляется измененная ткань.

4. Метаплазия слизистой мочевого пузыря. Выполняется лазерная абляция слизистой.

5. Эмфизематозный цистит. Довольно редкая патология, лечится медикаментозно, с помощью инстиляций.

Цистоскопия является рутинным методом при обследовании пациентов с различными патологиями мочевыделительной системы и переносится достаточно легко. На просторах интернета можно найти негативные отзывы о цистоскопии, но чаще всего эти отзывы связаны с несовременным оборудованием, либо с недостаточным обезболиванием или несоблюдением техники процедуры.
Для наименьшей травматизации слизистых уретры и мочевого пузыря, перед процедурой вводится специальный гель с Лидокаином - Катеджель, это значительно уменьшает болезненность при проведении процедуры. Так как обследование выполняется на современном оборудовании, с использованием анестетика, оно проходит без выраженных болезненных ощущений.
В норме может быть учащение мочеиспускания, небольшие рези при мочеиспускании, следы крови в моче, которые проходят в течение 1-2 суток.